Εξέταση εμφανίζει τον αόρατο καρκίνο μαστού μέχρι και 15 μήνες νωρίτερα
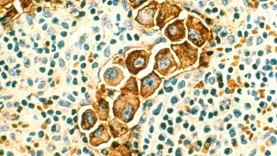
Άννα Παπαδομαρκάκη Στον καρκίνο του μαστού, συχνά, η υποτροπή ξεκινά πολύ πριν γίνει ορατή. Μικροσκοπικές συστάδες υπολειμματικών καρκινικών κυττάρων μπορεί…
Άννα Παπαδομαρκάκη Στον καρκίνο του μαστού, συχνά, η υποτροπή ξεκινά πολύ πριν γίνει ορατή. Μικροσκοπικές συστάδες υπολειμματικών καρκινικών κυττάρων μπορεί…
Γράφει ο Παναγιώτης Ι. Βλαχοστέργιος M.D., Ph.D. Ογκολόγος – Παθολόγος, ΙΑΣΩ Θεσσαλίας, Clinical Assistant Professor, Weill Cornell Medical College, New…
Εκατομμύρια γυναίκες ζουν με αυτόν τον αόρατο κίνδυνο χωρίς να έχουν καμία ενημέρωση Αν υπήρχε ένας παράγοντας που αυξάνει σημαντικά…
ΠΗΝΕΛΟΠΗ ΜΠΟΣΤΑΝΤΖΟΓΛΟΥ Καρκίνος μαστού και περπάτημα Σύμφωνα με επιστημονική έρευνα, μια ωριαία βόλτα την ημέρα μπορεί να μειώσει τον κίνδυνο…
Άννα Παπαδομαρκάκη Καρκίνος μαστού στους άνδρες; Κι όμως. Μπορεί το ποσοστό να είναι μικρό, όμως τα τελευταία χρόνια έχει εμφανίσει…
Ποια τα συμπτώματα και οι παράγοντες κινδύνου; Ποιες οι μέθοδοι διάγνωσης, πρόληψης και θεραπείας; Ο Οκτώβριος είναι μήνας ενημέρωσης, πρόληψης…
Σύμφωνα με τον ΠΟΥ, ο καρκίνος του μαστού σε πρώιμο στάδιο δεν εμφανίζει συμπτώματα, για αυτό ο τακτικός έλεγχος είναι…
ΠΗΝΕΛΟΠΗ ΜΠΟΣΤΑΝΤΖΟΓΛΟΥ Ένα απλό τεστ δακτυλικών αποτυπωμάτων για τον έλεγχο του καρκίνου του μαστού θα μπορούσε τελικά να αντικαταστήσει τις…
Δεν είναι όλα τα ασυνήθιστα συμπτώματα στο στήθος σημάδια για καρκίνο του μαστού. Αυτό όμως δεν σημαίνει ότι πρέπει να…
Ακόμη και ο πιο επιθετικός καρκίνος του μαστού μπορεί πλέον να αντιμετωπιστεί αποτελεσματικά με τις νεότερες θεραπείες, αρκεί η διάγνωση…
Η 25η Οκτωβρίου είναι μία ημέρα που αφορά όλες τις γυναίκες, αφού είναι αφιερωμένη στον αγώνα τους ενάντια στον καρκίνο του…
Ενώ ο καρκίνος του μαστού είναι η δεύτερη πιο κοινή διάγνωση καρκίνου στις γυναίκες, πολλοί δεν μπορούν να αναγνωρίσουν κοινά…