Ένα δημοφιλές παυσίπονο γνωστό για πλήθος ευεργετικών δράσεων, αναδεικνύεται και σε πολύτιμο μαχητή κατά του καρκίνου

Πρόσφατη μελέτη δείχνει ότι η ασπιρίνη αναδεικνύεται σε σύμμαχο κατά του καρκίνου, θωρακίζει το ανοσοποιητικό, και το βοηθά να καταπολεμά τις μεταστάσεις. Η μελέτη αναρτήθηκε στο Nature.

Ερευνητές από το Πανεπιστήμιο του Κέιμπριτζ και διάφορα διεθνή ιδρύματα ανακάλυψαν ένα άγνωστο μέχρι σήμερα μονοπάτι που εξηγεί πώς η ασπιρίνη προστατεύει από τις μεταστάσεις που ευθύνονται για το 90% των θανάτων από καρκίνο παγκοσμίως.

Το πασίγνωστο παυσίπονο εμποδίζει τα αιμοπετάλια από το να καταστέλλουν τα Τ κύτταρα του ανοσοποιητικού συστήματος, τους φυσικούς «μαχητές» του οργανισμού.

«Πολλοί ογκολογικοί ασθενείς με καρκίνο σε πρώιμο στάδιο υφίστανται χειρουργική αφαίρεση του όγκου, αλλά αργότερα μπορεί να υποτροπιάσουν λόγω της μετάστασης καρκινικών κυττάρων σε άλλα μέρη του σώματος», εξηγεί σε δήλωσή του ο επικεφαλής συγγραφέας καθηγητής Rahul Roychoudhuri από το Πανεπιστήμιο του Cambridge.

Το ευάλωτο «παράθυρο» του οργανισμού για τη μετάσταση

Ο καρκίνος γίνεται πιο επικίνδυνος όταν μεθίσταται – δηλαδή όταν εξαπλώνεται από την αρχική του θέση σε απομακρυσμένα όργανα. Όταν τα καρκινικά κύτταρα αποσπώνται από έναν πρωτογενή όγκο και ταξιδεύουν μέσω της κυκλοφορίας του αίματος, δεν διαθέτουν το προστατευτικό περιβάλλον που υπάρχει στους εγκατεστημένους όγκους, γεγονός που τα καθιστά ευάλωτους στόχους για τα Τ-κύτταρα του ανοσοποιητικού συστήματος.

Η ερευνητική ομάδα ανακάλυψε ότι τα αιμοπετάλια απελευθερώνουν θρομβοξάνη Α2 (TXA2), η οποία προσκολλάται σε υποδοχείς στα Τ κύτταρα και ενεργοποιεί μια πρωτεΐνη που ονομάζεται ARHGEF1. Αυτή η αλληλεπίδραση καταστέλλει τη λειτουργία των Τ-κυττάρων, ουσιαστικά παραλύει τη φυσική μας αντικαρκινική άμυνα.

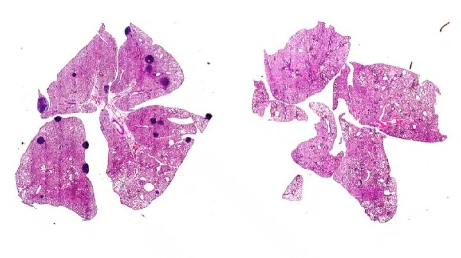
Στην πρώτη εικόνα βλέπετε όγκο του μαστού τρωκτικών που ανέπτυξαν μεταστατικό καρκίνο στους πνεύμονές τους (μαύρες κηλίδες), ενώ αυτό αποτράπηκε (2η εικόνα) σε ποντίκια που στερούνταν την ARHGEF1 – μια πρωτεΐνη-κλειδί που εμπλέκεται στην καταστολή της ανοσίας των Τ-κυττάρων από τον παράγοντα θρομβοξάνης Α2. (Image courtesy: Jie Yang)Πώς η ασπιρίνη «μπλοκάρει» τον καρκίνο

Η ασπιρίνη εμποδίζει την παραγωγή του TXA2 αναστέλλοντας ένα ένζυμο που ονομάζεται κυκλοοξυγενάση στα αιμοπετάλια. Σταματώντας τα αιμοπετάλια από την παραγωγή TXA2, η ασπιρίνη απελευθερώνει τα Τ κύτταρα από την κατασταλμένη τους κατάσταση, επιτρέποντάς τους να αναγνωρίσουν και να εξαλείψουν τα καρκινικά κύτταρα που κάνουν μετάσταση πριν αυτά μπορέσουν να δημιουργήσουν νέους όγκους.

«Σε ένα μικρό ποσοστό ανθρώπων, η ασπιρίνη μπορεί να προκαλέσει σοβαρές παρενέργειες, όπως αιμορραγία ή έλκος στομάχου. Ως εκ τούτου, είναι σημαντικό να κατανοήσετε ποια άτομα με καρκίνο είναι πιθανό να ωφεληθούν και να συζητάτε πάντα με τον γιατρό σας πριν πάρετε ασπιρίνη», συμβουλεύουν οι ερευνητές.

Πηγή: ygeiamou.gr

❝ ετικέτες ❞ #ΑΣΠΙΡΙΝΗ